緒方デンタルオフィスへ戻る
臨床症例
当院での診療の写真と少しのコメント

コバルトクロム鋳造床の作成
普段は外注しているコバクロ鋳造床を作成、安定的なレシピができたようなので覚書を記す
いろいろ調べても細かいトコロがわからないのでポイントを記録しておく

thumb_IMG2660.jpg(67430 byte)

thmb_IMG2662.jpg(63052 byte)

作業用模型に金属床外形がわかるようにリリーフを28ゲージシートワックスで施す 捨て線も
まず鋳造体がΦ9cmの鋳造リングに収まるかマスターモデルをあてがってよく見ること
床用レジン充填の際にメタルプレートが歪まないようにティッシュストップを設ける

ハイシリコーンII 100g100gの計200gデュープリコーンとCDフラスコで複印象 手練り プレッシャーポットで加圧するとより良い
耐火模型製作 複印象はCDフラスコを外してCDインベストメントを注型
CDインベストメントが標準分液比でも非常に粘張で重い 粉200g 手早く手練り30秒 真空練和30秒 プレッシャーポットで加圧するとより良い

今はGCイノベストMPが使いやすい 400gパックでCDフラスコの複印象に充分
硬化したらマルチコート塗布 加熱150度5分 模型基底部の角をトリマーして外埋没材でかかえるように
ワックスアップ 上顎キャストプレートだと正中部に肉厚部として1mmくらいになるようにシートワックスとスティップルシートを圧接
薄い所は遠心鋳造なら0.5mmくらいまでか
フィニッシングラインはΦ25か32のラインワックスで成形し、湯道となるように
スプルーはフィニッシングラインとポストダム以遠 レスト付近の肉厚部にΦ32 補助としてスケルトン部と湯周り悪そうなところにΦ20
外埋没はスノーホワイトをスーパースピードイノベストMP1パック400gに水44g 専用液44g 90mm特大鋳造リングでライナー2重巻 粉500g
埋没40分で常温の炉に投入 2時間かけて200-250度に到達したら400度に昇温して1時間係留 イノベストMPなら埋没後60分でいきなり900度の炉に投入 その後920度まで昇温また1時間係留
酸素都市ガスバーナー 酸素圧力は0.4MPa 大量溶融ノズルL
ガスを出してから 酸素を開ける まず一段内炎が出て燃焼音はうるさくなる
そののちもう一段酸素を開くと燃焼音がよりけたたましくなって
内炎が明瞭なマルチコーンになるのでマルチコーンが1cmになるように
ダンコバルトの商品ページに酸素ガスバーナーでの鋳造タイミングの動画があるので参考にする 今回はCoCr日本歯科金属ダンコバルト硬質ショットタイプで60g スプルーが多いのでかなり多め 出来上がりは26gだった
カータイプのバネ式遠心鋳造器にはまる坩堝ではインゴットタイプだと2x3で6粒60gともう1粒の70gぐらいまでが限界か かなりオーバーヒートめに融解 ショットの方が体積に対しての表面積が多いので溶かしやすい
坩堝を揺さぶって酸化被膜は破れないで1塊の溶湯になるようにしたらリングを出して手早く鋳込む
炎の照り返しで左手が熱くなる 軍手したほうがいいかも?遮光メガネ必須
バーナーはガスを一気に閉じるとパン音せずに消せる
カータイプの横型遠心鋳造機 巻数は4 カウンターウェイトは最大
回転がおわったら電源を落としたファーネスに入れて除冷 赤みがなくなったらファーネスの扉を半開にする
掘り出しにはフラックスハンマ できるだけ押し湯は叩かない

やってみて実感するのは、、スーパーキャスコムとかのコバルトクロム用鋳造機でやったほうがラクで歩留まりが良く安全そうだということ
お代が頂けるなら外注ですね、、しかもこのあとのスプルー切断・研磨もめっさタイヘンですし、、やるなら充分に納期を見ておくべき
なお上記手順を実行しての事故、不成功などの不利益は一切当方では関知いたしません
2017/06/27
2026/03/31現在の材料の変化により使わなくなった箇所と新たに採用した箇所を追記
いまだコバルトクロムの酸素ガスバーナー遠心鋳造について記載してるHPが見当たらない
サンドブラスターの粉は250μmのアルミナかカーボランダムが効果的 100μmのアルミナでは威力不足
スプルーカットもタイヘン 40号のスプルーを安易に立てるとカッティングディスクが割れます 32号を複数にしたほうがまだマシ
カッティングディスクでギリギリ狙うより 大まかにやってヒートレスホイールしたほうが安全
日本歯科金属のスチールマスターという研磨ホイールが優秀 しかしFEEDで売ってない
最近ほんと技工士不足らしく昭和40年代までの歯科医師が技工をやる時代に回帰するかもしれませんね 新規開業するドクターは技工室をつけましょう うちは3.8畳

シェードテイク

補綴物の作成で色が合わなくてどうにも困ったりする事があります
まぁ大体はシェードテイクに失敗してるわけですが、、、
患者さんの歯の色をどうやって記録して、技工物に再現するかってのが問題になります
記録するところまでは歯科医師の仕事ですね
ちょっと最近良さそうな方法を見つけたので、覚え書きを記す
VITAのクラシカルシェードガイド全部を入るように一枚撮っておく、
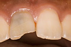
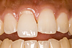
今回は上顎左上2から右上1にかけてのブリッジの製作です。
テンポラリーはA2で色が白すぎですね
作成する歯牙のお隣さんの歯の中央部を黒線で囲って、その範囲をコピーして、180°回転させてから、シェードガイドの上に貼り付ける。計16個です。
この画像を見ながら色を決めます
それでもまだ判断に迷うときは、画像全体のトーンカーブをすこーし落とすと、色が出てきます。
トーンジャンプしないように16bit色空間でやると良いかもしれませんがjpgではできないので自分はやってません。
マシンパワーが余っていたらtifでやるとより良いかもしれません。
で、それでも決めかねるときはこの画像を見るときに目を細めます、
細めるとシェードガイドとコピペした画像との境目が無い場所がきっとあるはずです
この時はたしか、、C1をベースと考え、オペークはA3を2:1くらいに調色
デンティンはC1で、カットバックをかなり多めにしてエナメルにE-3とT-Glassを3:1くらいにした気がします
結構前につくったんで、、
上顎前歯部で透明感を強調しすぎると、暗い不健康な色合いになりますんで、暗くならないように加減します、
まぁ、入れてみないと何とも言えないですけどね、、
と言いつつもセットした写真が見あたらないので、ここまで
2010/07/31

ポーセレンラミネートベニア

2009/10/18に山本貴金属社においてのポーセレンラミネートベニアの作成講習会を受講したので
その覚え書きを記す
これが完成形 支台模型はこれ
支台模型に対するフィット
テトラサイクリンによる着色歯の症例はかなり減少している、審美障害の改善ケースが多い
Reduction量は0.5-0.7mm 切縁は0.5-1.0mm落とす コンタクト前で形成を止める もしくはコンタクトを完全に落とす、中途半端だと耐火模型が作れない(その時は分割耐火模型が作れないので、分割無しで作る→隣接面の形態は削り出し)
耐火模型はメタルより熱伝導率が低いので、炉内焼成時に耐火模型に熱カロリーを持って行かれる、よって昇温レートを45℃/minに下げじっくり焼きあげる。
減圧温度はガラス溶融点の600℃以下であればよい、大気圧下で550℃くらいまで昇温しておいて不要な有機物をとばすようにする、よって減圧開始は520℃から550℃くらいに設定する
ウォッシュベークをすることにより、耐火模型からの陶材の引かれを防ぐ、ウォッシュはごくごく薄く
マージンに1mm程T-Glassすることによりレンズエフェクトで仕上げることが出来る
耐火模型はノリベスト、焼成ピンはGCのセラミックピン
築盛はごくごく普通、耐火模型の製作の方が工程が複雑
ビビデント(ビバデント??)のポーセレンポイントが有用 マージン出しはホワイトポイント

とまぁ、こんな感じの講習会でした、意味不明な文字列ばかりですね、まぁ結構大変なんですよ作るのって

キャストリンガルバー義歯の増歯

キャストリンガルバーを使った義歯では増歯することが出来ず、再製作を余儀なくされることが多かったのですが
増歯部分を鋳造で製作して、局所的に鑞着することにより修理できたのでご報告
ちなみに今回修理にかかったチェアタイムはちょうど1時間程度であった
口腔内写真を撮っていなかったので模型ですが
左下4が歯根破折で抜歯と相成り候
キャストのリンガルバーだとココに歯を足すことが出来ないので、他の場所は問題ないのに再製作
となることがあったのだが、今回鑞着で解決を図る
抜歯して3週間
大分創もふさがったので印象しました
この時キャストのリンガルバーをタービンで段差が付くように削りこんでおきます
口腔内ではこんな感じ この段差にはまるように増歯部分の維持を金銀パラジウム合金で鋳造して製作
おすすめ器材で登場したPi-Ku-Plastならかなり簡単に作れます
歯冠色レジンの為のリテンションビーズを忘れずに
リンガルバーとの鑞着面をより広く採るように重ね継ぎ手とした
患者さんが来院したら
口腔内でリンガルバーとパーツの位置を確定してパターンレジンで仮固定
これにより粘膜面のメタルタッチを実現している
即硬性の鑞着用埋没材で固定
鑞着面にフラックスを忘れずに
銀鑞を流して鑞着
レジン部に極力熱が行かないように手早く
レジン部に濡れたティッシュを巻いておくのも良いかも
冷や汗が出る瞬間です
鑞の流れに無理があるのですこし巣が入ってしまった
鑞の流れを考えると
今回のような重ね継ぎ手はあまり良くないが
強度を考えると致し方ない
スカーフ継ぎ手とするのも一考の余地がある
維持部に歯冠用コンポジットレジンで歯冠を築盛して修理完了
あまり強い咬合接触は与えないようにする
今回は4番だが3番形態に近くなった
咬合力を積極的に負担させる気にはならない

プロセラ症例
初診時
歯髄失活による審美障害
かんでみると
オーバーバイト浅く補綴物は審美優先でよいと判断
支台歯形成
全周アクセンチュエイテッドシャンファー
ファイバーポストコアを使用しています
シェードテイク
かなり明るいA2ベースか
シリコン印象
すこし古い写真なので今では使ってない印象材である
Kerr社スタンドアウトとGC社エグザハイフレックスの連合印象
拡大してみる
マージン下まで出ていること確認した
プロセラ納品
大体2週間くらいで納品です
内側にプロセラコーピングが見える
セット直前側方面観
少し色が浮いたかもしれない
同意が得られたのでセット
セット後
セット後歯牙の乾燥が治まると色も落ち着いてくる
ここがプロセラの難しいところでもある

陶材焼付金属冠症例
当然のシリコン印象です
GC社エグザハイフレックスレギュラーとKerr社のTake1ウォッシュタイプの連合です
前歯の唇側の印象は少しカットしておくと模型が良い感じになります。超音波カッターなら印象に外力を加えずにカットできます
GC社ニューフジロックを真空練和しています。超硬石膏ならではの表面のキメ細かさ糸鋸でカットしていきます
二次石膏はWhipmix社のflowStoneを真空練和しています 真空練和しないとダメな石膏ですが、ちゃんとやると二次石膏に最適です本模型のセパレートは。一番神経をすり減らすところですね
ホットボンドで上下模型を固定して 咬合器装着。スティッキーワックスより手軽です技工用の実体顕微鏡下でマージン出ししたところ 顕微鏡を使うと硬石膏を使う気が無くなります
平行性は大丈夫そうですまずMETALOR社のABF-waxMarginを一層
マージンより3mmくらいはみ出してうすーく盛ります
横から見た状態プロビジョナルレストレーションの切縁を
パテシリコンで形態をとります
クリアランスは十分、、すぎるくらいですまず片方と連結
ポーセレンを盛るスペースは2mm強としてます またコネクターはすこし歯頚部寄りで厚みを確保するようにしてますぎりぎりまでまでワックスで接触させ
最小限の熱量で溶かし連結します
ランナーバーで連結してますパターンを慎重に取り外します
基本的にオールベイクでやってます ポーセレンの最大の利点は色ではなくプラークのつきにくさです外形ワックスはSSWhite社のCastingRedNo.6です
鋳造したところ
鋳造はGC社のイノベスト
使用金属は今回山本貴金属社のZeoMetal87です
本模型にフィット、、、良さそうです
ディギャッシングし、
酸処理、良い色です
ハイプレシャスならでは
スーパーオペークを塗っていきます
オペーシャスデンチンを盛った所
オペークの浮きを防ぎます
先ほどのシリコンコアに合わせ
ポーセレンの色調を出せるスペースがあることを確認
対合歯とのクリアランスも良い感じデンティンエナメルを焼いたところ
大体コアと合ってます形態修正します
ポーセレンは削ると地のポーラスなところがでますが、、大丈夫
グレーズしたところ
日本語で艶焼きです
色は大丈夫でしょうか
なかなか良さそうですほんの少し表面にステインを施しました
日本語では「うわぐすり」釉薬です
側面観です このツヤツヤ感がたまりません プラークも付着しずらい理想的な材料ですステインにより独立感が増しました
咬合面観

プロセラ症例その2
右上1番の審美障害
特に歯根部のブラックシャドー
根管治療のやり直しとファイバーポストコアによる築造のやり直し
シリコーン印象
Kerr社Take1ウォッシュとGC社エグザハイフレックスレギュラー
プロセラ納品
マージンのフィット内側にプロセラコーピング
正直そんなに透明感のあるモノではない
セット直前かなり良いと思います
全体的にオペーキーな色調だったのが幸いしたのでしょうか

ボクシング

効率的なマスターモデル製作の試案
ユーティリティーワックスでボクシングするのが大学で習った方法ですが
義歯重合用フラスコを使うとだいぶ楽にできるのでご紹介します
石膏を使うので硬化待ちがあるのですが、逆に診療の合間にやると良さそうです
下顎総義歯の最終印象
個人トレー・イソコンパウンド・GCフュージョン2extraWash
印象を採ったは良いが模型を起こすのが一苦労 で
義歯重合用のフラスコにワセリンを塗りたくります
印象面が極度に傾かないようにフィンガーレスト部に マルチパットで底上げしています ここに普通石膏を流し込み 硬化前に面をならします これはいつも義歯重合をやっていれば慣れてる作業です
で、トンカチで、、 フラスコを叩いて取り出します ワセリンを沢山塗っていれば普通石膏は柔らかいけど割れずらいので大丈夫
で、それをトリマーに掛けてガムテープ巻いて石膏を流します
ボクシングの石膏にはワセリンをたっぷり塗っときましょう
辺縁の出た模型ができました 使用石膏はGC ニュープラストーンLE
シュールストーンが廃盤になったのでこれを使ってます バイオレット色は出ないのかなぁ
新しいウィンドウで目次へ戻る